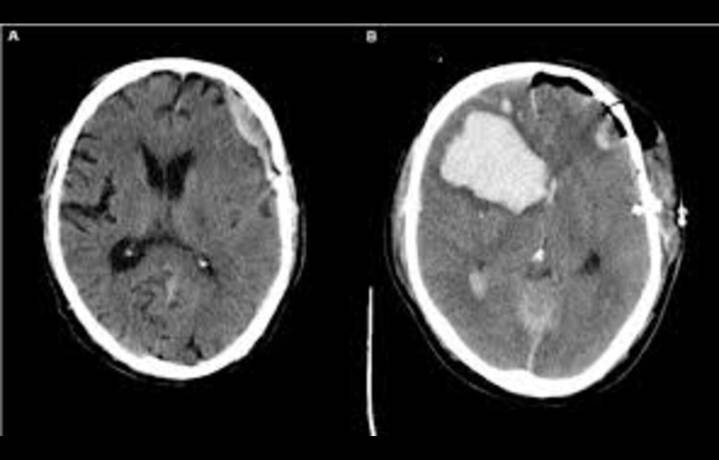
A recent study published in JAMA Network Open examined the outcomes of patients with acute subdural hematoma (ASDH) treated at centers with differing management strategies, comparing those that favor early surgical intervention with those that typically pursue conservative approaches. The authors reported that outcomes in terms of survival and neurological function were broadly comparable between the two treatment pathways. This suggests that patient prognosis may not be determined solely by whether surgical or conservative care is pursued, but also by other clinical and contextual factors such as patient age, comorbidities, injury severity, and access to supportive care.

The study emphasized that acute subdural hematoma is a common and serious form of traumatic brain injury, often requ

See Full Page