Un estudio mide con resonancia magnética la mielinización cerebral de los recién nacidos ISGlobal

Un estudio muestra como la exposición prenatal a partículas finas (PM2.5) daña la protección de las fibras nerviosas 16 oct 2025 . Actualizado a las 16:05 h.

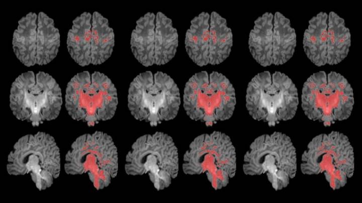
Un estudio pionero publicado en la revista Environment International concluye que la exposición a la contaminación atmosférica durante el embarazo se asocia con una maduración cerebral más lenta en los recién nacidos . Este trabajo, fruto de la colaboración entre el Hospital del Mar, el Instituto de Salud Global de Barcelona (ISGlobal) y el CIBERESP, es el primero en analizar el desarrollo cerebral en el primer mes de vida.

La clave del hallazgo se centra en la mielinización, un proceso crucial en el que la mielina -una especie

See Full Page