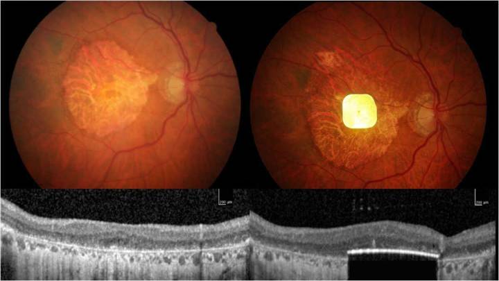
Por primera vez, un grupo de personas afectadas por ceguera irreversible ha logrado recuperar parcialmente la visión gracias a una innovadora prótesis ocular llamada Prima. El dispositivo, desarrollado por un equipo internacional de científicos europeos y estadounidenses, ha demostrado su eficacia en pacientes con atrofia geográfica, la fase más avanzada de la degeneración macular asociada a la edad (DMAE), una enfermedad que afecta a unos cinco millones de personas en todo el mundo y hasta ahora no tenía tratamiento.

El ensayo clínico, realizado en 17 hospitales de cinco países , se ha publicado en la revista New England Journal of Medicine. En él participaron 32 pacientes mayores de 60 años, de los cuales 27 recuperaron la capacidad de leer letras, números y palabras un año de

See Full Page