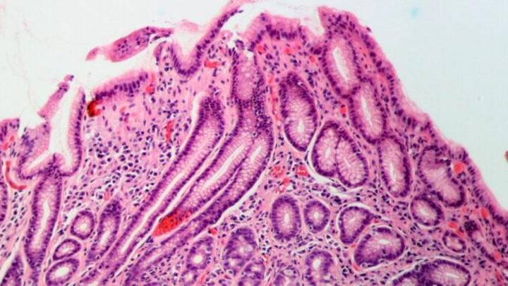
Es una bacteria específica de los seres humanos y tiene prevalencia universal. Debe su nombre a su forma helicoidal, y es la causa del 90-95% de las úlceras duodenales y del 70% de las gástricas.
Helicobacter pylori: así son los síntomas de la infección que afecta a la mitad de la población

33