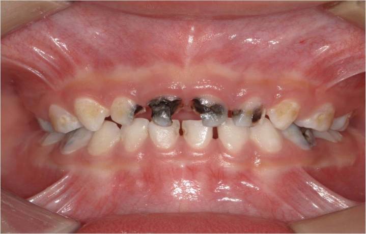
A new study published in BDJ Open has found that adopting evidence-based early feeding practices—such as reducing sugar exposure, ensuring timely introduction of complementary foods, maintaining consistent vitamin D supplementation, and promoting dietary diversity—plays a critical role in preventing early childhood caries (ECC). The findings reinforce the strong link between nutrition during infancy and long-term oral health outcomes.
Researchers analyzed feeding behaviors, dietary patterns, and oral hygiene practices in young children to understand how early-life nutrition influences caries development. The study found that frequent sugar consumption, including hidden sugars in processed foods and sweetened milk formulas, significantly increases caries risk—even before teeth fully erupt.

Medical Dialogues

The Conversation
The Columbian Politics
Raw Story
VARIETY
CNN
The List
E Online
The Fayetteville Observer Sports
The Babylon Bee