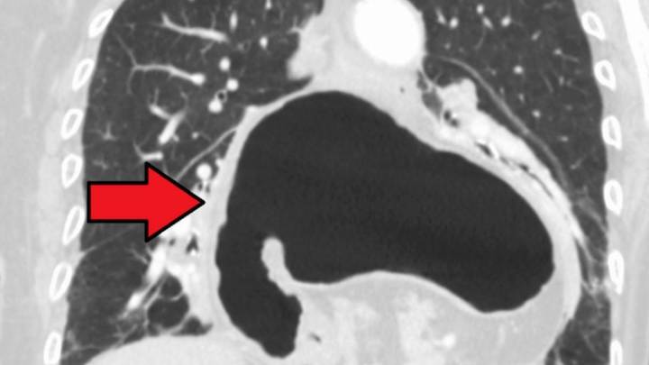
El hiato es un orificio situado en el diafragma que permite el paso del esófago hasta el estómago . Su función es importante ya que impide que el contenido del estómago refluya hasta el esófago. ¿Pero qué pasa cuando aparece una hernia en esta zona?
Pues al debilitarse o desplazarse esta zona parte del estómago se introduce o se hernia a través del hiato hacia el espacio torácico, provocando diversos síntomas o no. Porque hay pacientes que tienen hernia de hiato pero que no registran ninguna molestia , en cambio otros si sufren uno de los síntomas más habituales de esta patología: el reflujo .
Afecta, sobre todo, a los mayores de 50 años y a las mujeres embarazadas .
Además de esa acidez estomacal, los especialistas en aparato digestivo del Hospital Victoria Eugenia Cruz Ro

La Opinión A Coruña

New York Post
The Cut
Associated Press US News
Insider