On a Thursday morning last month, Boniaba Community Health Center in Mali was running a TB screening. There was no doctor in sight. Yet, a mother plagued by coughing got an answer in a matter of seconds: She was positive for TB.
A few years ago, she'd have been lucky if there was a screening nearby. And still, she'd have had to wait a week or two for a sputum test to be sent to a lab and results to come back.
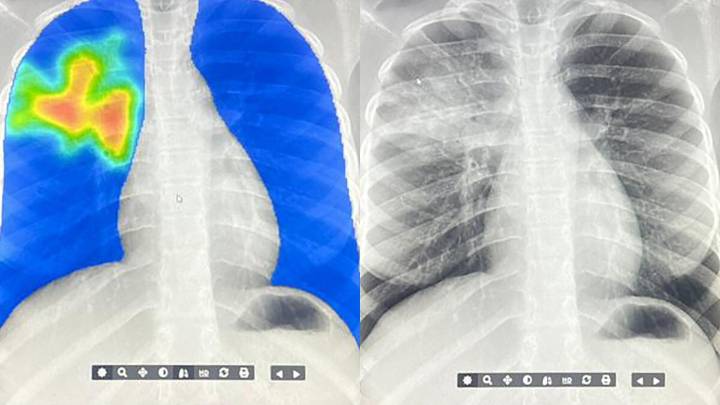
The difference? A mobile x-ray machine and an AI algorithm are detecting TB. (In case you're not familiar with AI terminology — this is basically a computer program trained on a whole lot of data.)
TB is the world's top infectious disease killer — with 3,500 people dying of it each day for an annual total of more than 1.2 million deaths. And the numbers are going up. One of the

KNAU

KARK
Times Herald-Record
WISC-TV Channel 3000
NBC Bay Area Dixon News
WBKO
WAVE 3 News
RadarOnline
Orlando Sentinel Travel
Orlando Sentinel Sports
Daily Kos