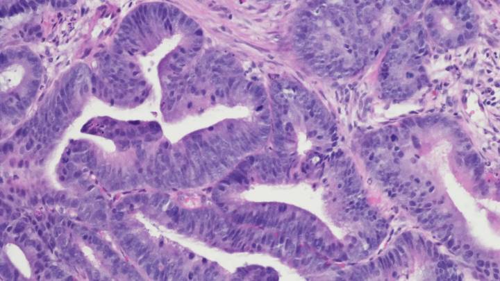
Un estudio liderado por el Instituto de Investigación Biomédica (IRB Barcelona) y el Centro Nacional de Análisis Genómico (CNAG) ha descubierto que los tumores colorrectales metastásicos se protegen de la inmunoterapia mediante dos mecanismos complementarios que ejercen de doble escudo bloqueando el sistema inmunitario.
La investigación, publicada en Nature Genetics, identifica la osteopontina como una proteína clave responsable de detener la acción de las células defensivas dentro del tumor, según explica un comunicado del IRB.
Estudiar los tratamientos del cáncer de colon sigue siendo una prioridad para la investigación médica, pues es una de las principales causas de muerte por cáncer a nivel mundial.
Y es que a pesar de que las inmunoterapias han transformado el tratamiento de mucho

20 Minutos Ciencia

El Periódico Extremadura
El Mundo España
New York Post Video
Newsweek Top
AlterNet
NFL New York Jets