An artificial intelligence tool that can detect tiny, hard-to-spot brain malformations in children with epilepsy could help patients access life-changing surgery quicker, Australian researchers said on Wednesday.
It is the latest example of how AI, which can crunch vast amounts of data, is changing healthcare by assisting doctors with diagnoses.
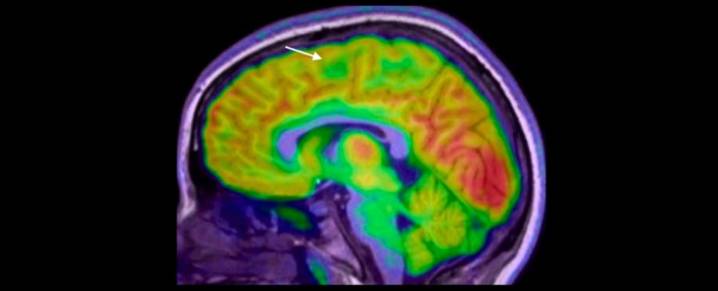
Epilepsy has several different causes, and overall around three in 10 cases are down to structural abnormalities in the brain, experts say.
These are often missed on MRI scans – especially the smallest lesions, sometimes hidden at the bottom of a brain fold.
A team led by Emma Macdonald-Laurs, a paediatric neurologist at the Royal Children's Hospital in Melbourne, trained an AI tool on child brain images to find lesions the size of a bluebe