Daijiworld Media Network - New Delhi
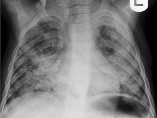
New Delhi, Oct 28: Routine chest X-rays, commonly used to screen for tuberculosis (TB), are failing to detect a large number of asymptomatic cases, according to a new study published in The Lancet Global Health.
Researchers from the University of Cape Town, South Africa, found that standard chest radiographs — even when used alongside symptom-based screening — missed more than 40% of TB cases among people who showed no symptoms but lived with patients diagnosed with pulmonary TB.
The study screened 979 household contacts of TB patients in three South African communities using universal sputum microbiological testing, which served as the reference standard. Pulmonary TB was confirmed in 5.2% of participants, but 82.4% of these individuals had no symp

Daijiworld.com

The Hill Politics
Raw Story