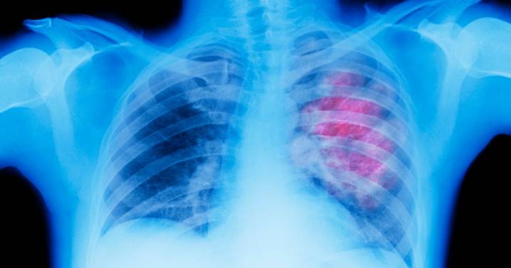
Lung cancer is the leading cause of cancer-related deaths in the United States.
As we start Lung Cancer Awareness Month, a new report shows where we stand in fighting against the disease, including in Pennsylvania.
"It wasn't too long ago that overall, five-year survival for all patients diagnosed with lung cancer was in the range of 15%. And now it's 30%" said Benny Weksler, assistant director for thoracic surgery with the Allegheny Health Network.
He said it's amazing to see the progress made in battling lung cancer. He also calls it humbling.
"It shows us how much more we need to go, right?" Dr. Weksler said.
This is revealed in the new State of Lung Cancer report released by the American Lung Association, with both national and state-by-state data.
On the positive side, the advo

KDKA

CBS Philly
WTAE-TV Pittsburgh
Lehigh Valley Live
Bloomberg Quicktake
Raw Story
People Top Story
AlterNet
CBS News
The Baltimore Sun
CNN Health
New York Post
Associated Press US News
She Knows