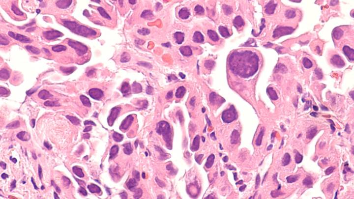
The biotechnology firm Nuvalent said Monday that its drug for a genetically defined type of lung cancer shrank tumors in more than a quarter of patients whose disease had returned after trying other targeted medicines, and that the response endured in most of those people for at least a year.
According to the company and an analyst who follows it, the results could mean that the medicine might be approved quickly and adopted by patients and doctors who might prefer it based on its efficacy and side effect profile to existing treatments for this type of lung cancer, which is caused by alterations in a gene called ALK (anaplastic lymphoma kinase).
In the trial of neladalkib, researchers working with Nuvalent followed 253 patients with ALK+ lung cancer for whom other ALK inhibitors had even

STAT News

Associated Press US News
AlterNet
The Conversation
People Top Story
Fortune
CBS News