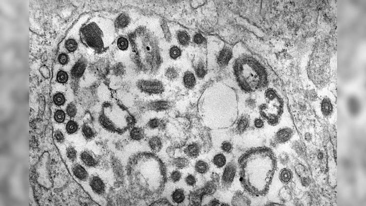
Addis Ababa (Ethiopia): Ethiopia on Monday confirmed three deaths from the Marburg hemorrhagic virus that has been detected in an area neighboring South Sudan.
Health Minister Mekdes Daba said Ethiopia's government, which declared a Marburg outbreak on Friday, had conducted tests in 17 suspected cases in the country's south. The outbreak was reported in the Omo region.
The minister said there were no active cases but the government was taking preventive measures. A team from the World Health Organization and the Africa Centers for Disease Control and Prevention has been dispatched to support with testing and outbreak control.
South Sudan's health ministry on Sunday issued a public health advisory to residents of four counties to wash their hands frequently and avoid contact with bodil

Mathrubhumi English

Health and Me
The Times of India
The Conversation