SPRINGFIELD, Mo. (KY3) - Finding out you have heart disease can be devastating.
Over the last decade, heart failure mortality rates have risen by more than 900% for adults under 45.
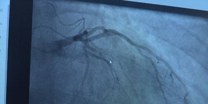
In Missouri , heart disease is the leading cause of death.
“Some people have what we call silent heart attacks, where you don’t necessarily feel the symptoms of clutching chest pain, making you run to the emergency department. Some people have periods where they just don’t feel that great, and sometimes, they get it misdiagnosed,” said Dr. Uzochukwu Ibe , Interventional Cardiologist at CoxHealth . “Maybe you have a little bit of what we call heart failure, and maybe you have pneumonia and you get antibiotics, and after some testing, we find out it is actually heart disease and heart failure with weakene

KY3
FOX4KC Missouri
The Babylon Bee