AI steps in to detect the world's deadliest infectious disease
Gabrielle Emanuel
November 06, 2025 / 4:30 am
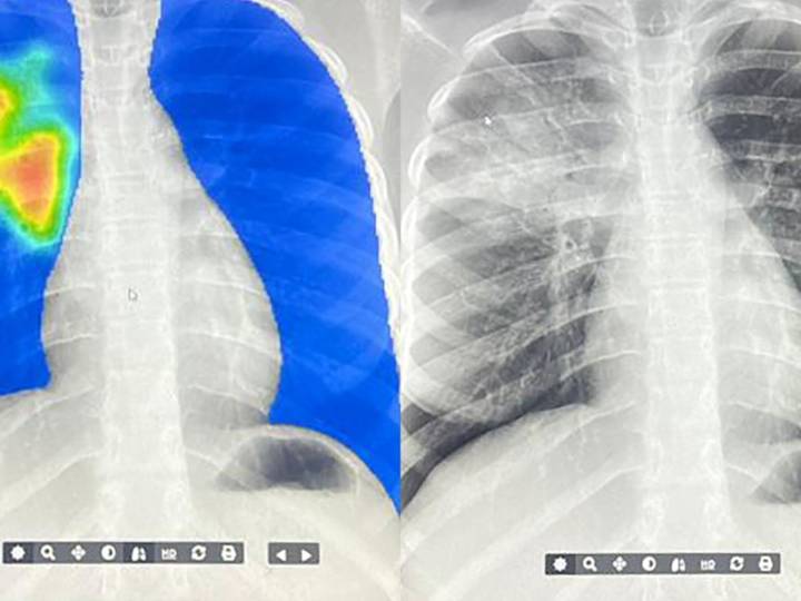
On a Thursday morning last month, Boniaba Community Health Center in Mali was running a TB screening. There was no doctor in sight. Yet, a mother plagued by coughing got an answer in a matter of seconds: She was positive for TB.
A few years ago, she'd have been lucky if there was a screening nearby. And still, she'd have had to wait a week or two for a sputum test to be sent to a lab and results to come back.
The difference? A mobile x-ray machine and an AI algorithm are detecting TB. (In case you're not familiar with AI terminology — this is basically a computer program trained on a whole lot of data.)
TB is the world's top infectious disease killer — with 3,500 people

KUOW Public Radio

Raw Story
AlterNet
TODAY Health
Verywell Health
NBC4 Washington
New York Post
Detroit News
Reuters US Business
Associated Press US News