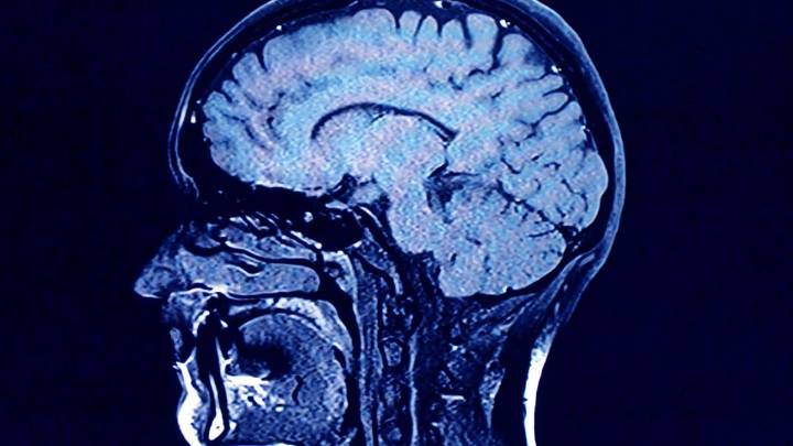
As we age, the human brain rewires itself.
The process happens in distinct phases, or “epochs,” according to new research, as the structure of our neural networks changes and our brains reconfigure how we think and process information.
For the first time, scientists say they’ve identified four distinct turning points between those phases in an average brain: at ages 9, 32, 66 and 83. During each epoch between those years, our brains show markedly different characteristics in brain architecture, they say.
The findings, published Tuesday in the journal Nature Communications , suggest that human cognition does not simply increase with age until a peak, then decline. In fact, the phase from ages 9 to 32 is the only time in life when our neural networks are becoming increasingly efficien

NBC Bay Area Dixon News

Local News in Washington
AlterNet
Reuters US Domestic
CNN Politics
The radio station 99.5 The Apple
Raw Story
The Conversation
Detroit News
Associated Press US and World News Video
RadarOnline