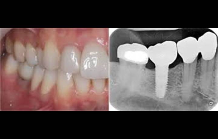
Researchers have found in a new study that the intermediate abutment-healing cap system appears suitable for single implant intraoral scans, providing clinically acceptable levels of scanning accuracy. The study evaluated multiple intraoral scanners and found that all devices achieved acceptable trueness when used with the intermediate abutment-healing cap system. Among the scanners tested, the Dexis IS 3800 demonstrated higher precision, indicating more consistent reproducibility. These findings suggest that the intermediate abutment-healing cap system can facilitate accurate digital impressions and may improve workflow efficiency in clinical implant dentistry. While promising, the authors recommend further validation through in vivo studies to ensure consistent performance under real cli
Intermediate Abutment-Healing Cap System Ensures Accurate Single Implant Scans, suggests study
Medical Dialogues2 hrs ago
126


The Times of India
Breitbart News
Newsweek Video
People Travel
Raw Story
Fashion Network business
WILX News 10