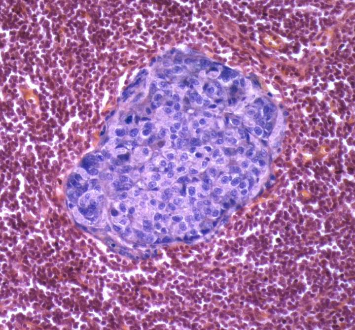
University of Cambridge researchers have developed a machine learning algorithm that facilitates accurate spatial quantification of tumor tissue on digital pathology images, potentially enabling personalized treatment decisions guided by both what the tumor looks like and what its biology reveals.
The tool, named SMMILe (Superpatch-based Measurable Multiple Instance Learning), not only matches or exceeds the performance of current state-of-the-art whole-slide image (WSI) tissue classification tools for the detection of cancer cells in tumor biopsies and surgical sections, but also predicts where the tumor lesions are located and the proportion of regions with different levels of aggressiveness.
“SMMILe stands out because it delivers precise, scene-aware quantification of tissue types acr

Inside Precision Medicine

Jackson Citizen Patriot
WAND TV
The Hacker News
CNN Business
KWQC
PC World
Vogue
Fast Company Technology
VARIETY
Santa Maria Times Local
The Daily Beast