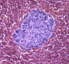
Researchers at the University of Texas MD Anderson Cancer Center have discovered that renal medullary carcinoma (RMC) cells use a process called “myeloid mimicry” to evade the immune system and promote rapid disease progression following immunotherapy treatment. This discovery, published in Nature Communications , came about after a Phase II clinical trial testing a combination therapy of two immune checkpoint inhibitors (ICIs) was halted after all 10 enrolled patients experience rapid disease progression.
“We identified a myeloid mimicry pathway that can drive tumor hyper progression following immunotherapy in renal medullary carcinoma. Inhibiting this pathway may offer a promising strategy to advance into clinical studies,” said Pavlos Msaouel, MD, PhD, one of the lead authors of

Inside Precision Medicine

The Conversation
Local News in Washington
AlterNet
CNN Politics
Reuters US Domestic
The radio station 99.5 The Apple
Raw Story
Associated Press US and World News Video
Detroit News
New York Post Lifestyle